Notre laboratoire met son expertise scientifique au service de votre santé. Nous réalisons des analyses médicales fiables et précises grâce à des équipements modernes et une équipe qualifiée.
Sam - Jeu 7:30 - 16:30
Vend : Fermé
044 59 59 61
contact@bensmainelab.com
Accueil
Présentation
Services
Actu & infos
Galerie d’image
Interview et Vidéos
Contact
Accueil
Présentation
Services
Actu & infos
Galerie d’image
Interview et Vidéos
Contact
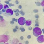
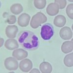
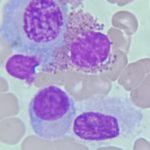
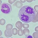
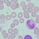
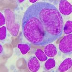
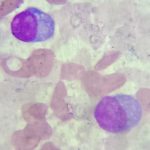
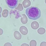
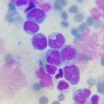
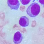
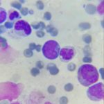
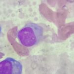
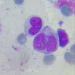
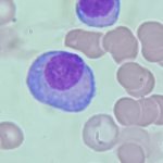
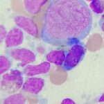
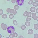
Galerie d’image
Ceci est une galerie d’images récoltés lors des différentes analyses établies par notre laboratoire